急性肺动脉栓塞是全球第3大常见心血管疾病,同时也是继心肌梗死和脑卒中之后的第3大致死性心血管疾病。急性肺动脉栓塞是医院内非预期死亡的主要原因之一,年发病率约为0.1%,病死率约为20%。因缺少特异性症状,误诊率较高。治疗关键在于快速、有效、安全地清除血栓,降低肺动脉压力和全肺阻力,恢复心肺循环稳定。临床上,根据急性肺动脉栓塞的血流动力学是否稳定分为低危、中危和高危。目前,急性肺动脉栓塞的治疗方法有单纯抗凝、外周静脉溶栓、导管接触溶栓和AngioJet机械吸栓等。近日,我院重症医学科成功应用rt-PA静脉溶栓方案救治一名致死性急性性肺动脉栓塞患者。
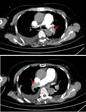
老年女性脑梗死恢复期患者,入院当日因出现呼吸困难、血氧饱和度下降,被紧急转入重症医学科。在给予经鼻加温湿化高流量氧疗、抗心力衰竭及抗凝等综合治疗后,患者症状仍未完全缓解。后续经床旁超声深入评估,高度提示急性肺动脉栓塞可能,随即进行的肺动脉CTA检查证实:患者左、右肺动脉主干及分支内可见多发条片状栓塞灶,病情危重,存在猝死风险。高志凌主任团队全面评估患者情况,判定其危险分层属于“中高危”,在与家属充分沟通并取得同意后,决定实施静脉溶栓治疗。12月17日21时起,团队开始为患者进行历时2小时的溶栓治疗,全程严密监测生命体征,并借助床旁超声等设备实时评估溶栓效果及可能出现的并发症。经过重症医学科全体医护人员精心治疗与护理,患者溶栓后氧合水平逐步提升,胸闷症状明显缓解。一周后复查肺动脉CTA显示,肺动脉内栓塞灶显著减少,肺叶血流供应基本恢复,患者终于转危为安。

我院重症医学科完成的急性肺动脉栓塞静脉溶栓取得良好疗效,挽救了病人生命,并且未出现并发症,序贯规范抗凝治疗为后续进一步康复打下基础。影像科硬件设备先进,在肺动脉CTA检查过程中对扫描参数精准把控、对比剂注射与触发时机掌握熟练、影像报告解读规范详细;检验科在溶栓治疗前后实时提供凝血功能监测及预警;药剂科为关键抢救药物的开通绿色通道,这些有利条件都为这例危重病人的抢救提供了强大支持。近年来,依托国家区域中医医疗中心平台,通过精细化的管理,实时监测,对重症前沿理念的不断学习,与医院其他科室紧密协作,重症医学科在急危重症的诊疗能力上持续提升,为医院重症患者的救治提供了有力保障。
文图:韦彪;审核:高志凌
关注公众号