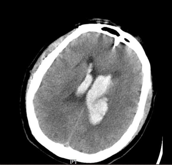
2025年12月8日晚9时许,我院针康二科护士在病区楼道发现护工赵某意识不清、呼之不应,并伴有呕吐。情况紧急,护士立即将其送至急诊科。经急诊颅脑CT检查,提示为“左侧丘脑出血破入脑室,双侧侧脑室及第四脑室血肿铸型”,病情危重,需立即手术干预。
神经外科陈楠主任医师迅速到位,全面评估后明确手术指征。在多科室紧密配合下,于12月9日凌晨为患者实施急诊“双侧脑室钻孔引流术”。手术过程顺利,术后患者转入ICU监护治疗。
在神经外科团队的持续跟进与精细化管理下,患者目前神志已转清,恢复良好。该病例的成功救治,标志着我院在危急重症神经外科急诊手术能力上实现新突破。
图1

图2

图3
图4
(配图说明:图1-2为术前颅脑CT,显示脑室系统血肿铸型;图3为术后复查CT,显示引流管位置良好;图4为手术团队术中操作场景。)
此次抢救充分体现了我院多学科协作的优势。影像中心迅速明确诊断,急诊科高效衔接,麻醉科与手术室全力保障,神经外科精准施治——各部门无缝联动,共同构筑起生命救治的“绿色通道”,彰显了我院应对突发危重病例的综合实力与应急水平。
(文/王凯 图/王凯 审核/陈楠)
关注公众号