天真活泼爱玩是儿童的天性,在日常玩耍过程中难免磕磕碰碰,有些受伤会导致儿童肘部擦伤甚至骨折。其中肱骨髁上骨折在儿童损伤中较为常见,如处理不及时或治疗方法不当,将严重影响患儿肘关节的功能,甚至导致终身残疾。
 
 
 
肱骨髁上骨折系指肱骨远端内外髁上方的骨折,其中伸直型占90%左右,以小儿最多见,多发年龄为5~12岁,当肱骨髁上骨折处理不当时容易引起Volkmann缺血性肌挛缩或肘内翻畸形。
虽然各种治疗方法都有改进或提高,使危害严重的Volkmann缺血性肌挛缩明显减少,但仍不断发生肘内翻畸形,发生率仍然较高,治疗时必须加以注意。
 
近半年来,我院骨伤一科团队共收治了15例儿童肱骨髁上骨折,均于受伤早期(72小时内)采用杨氏手法复位联合克氏针闭合固定骨折,具有手术时间短、闭合复位固定不做切口、避免二次手术、骨折愈合快、术后并发症少、医疗花费少等优点,患儿及家属对疗效均非常满意。
 
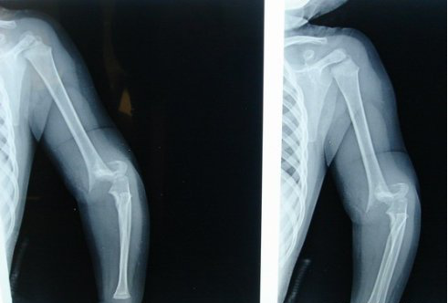
受伤后摄片
 
术中复位后透视
 
术中复位后透视
 
术后肘部外观
 
术后肘部外观
 
关注公众号